1801006097 long case

 This is an online E log book to discuss our patient's de-identified health data shared after taking his/her/guardian's signed informed consent.


Here we discuss our individual patient's problems through series of inputs from available global online community of experts with an aim to solve   those patient's clinical problems with collective current best evidence based inputs.



This E log book also reflects my patient-centered online learning portfolio and your valuable inputs on the comment box is welcome.

This is a case of 50 year old male  with shortness of breath and swelling of lower limbs
 
Patient came to casuality with the chief complaints of  shortness of breath since 13 days  and swelling  of lower limbs since  9 days .
Decreased urine output since 9 days

 History of presenting illness :

Patient was apparently asymptomatic 13 days back then he developed 
-Shortness of breath which was insidious in onset and progressed to Grade 4 ,aggrevated on lying down and  walking and relieved in sitting position.

- He also developed bilateral pedal edema ,since 9 days which is pitting in nature which is insidious in onset and it is initially Grade 1 and presently progressed  upto Grade2

-He also had decreased urine output since 9 days.

No history of chest pain,palpitations,syncope,fever, cough,burning micturition and knee pains.



PAST HISTORY: 

10 years back -
   History of fall from tree 
3 years back -
  Diagnosed with Tuberculosis and Diabetis mellitus

1 year back -
  Noticed swelling in both legs and on consultation was diagnosed with Chronic kidney disease.


-Not a known case of ; Hypertension, thyroid, Asthma

TREATMENT HISTORY:
Drug history:
 -NSAIDS intermittently to relieve neck pain

 -Antitubercular therapy
 
- Metformin 500mg three times a day




No history of any surgeries in the past.

PERSONAL HISTORY:- 


Diet - mixed 

Appetite normal 

Sleep - adequate 

Bowel - regular; 

Micturition : decreased urinary output since 6 days 



Addictions - occasionally alcohol consumption 

 Cigarette stopped 25 years back before 1 pack per year.

     Daily routine

He is farmer by occupation and used to go to work by waking up at 6 am and breakfast at 7 am ,completes work by afternoon ,takes rest and has dinner at 8 pm ,sleep at 10pm

He stayed at home since the fall from tree due to low backache            



FAMILY HISTORY:- 



no significant family history 



ALLERGIC HISTORY:- 



no allergies to any kind of drugs or food items



GENERAL EXAMINATION:- 

Patient is conscious, coherent, and cooperative 
Moderately  built and well nourished 

No pallor 

No icterus 

No cyanosis 

No clubbing

No lymphadenopathy


 Pitting edema seen in both lower limbs




































VITALS:

Temperature - Afebrile
Pulse Rate - 102 bpm
Respiratory Rate - 15cpm
Blood Pressure - 150/90mmg
Sp02 - 97% at Room air
GRBS - 203 mg/dl

Cvs examination:

 INSPECTION:


Shape of chest is normal

Jugular venous pressure is raised

No precordial Bulge

Apical impulse  is not well appreciated

No dilated veins.




PALPATION: 


Apex Beat - Shifted to 6th intercostal  space lateral to mid clavicular line

No parasternal Heave

No thrills 





PERCUSSION:


Left border of heart is shifted laterally.


Right border of heart is normal in location




Auscultation : 

S1 S2 Heard




RESPIRATORY SYSTEM: 

INSPECTION: 

-Bilateral Air entry Present

-Trachea is  in central position.

-Chest is bilaterally symmetrical and elliptical 

-Movements of Chest similar on upper parts  

-Expansion of chest is symmetrical in upper  part.

PALPATION:


-All inspectory findings confirmed by Palpation 


-Tactile vocal fremitus


                                       Right                   Left
Supra clavicular:        normal       normal
Infra clavicular:          normal       normal
Mammary: 
                 normal        normal   
Inframammary          normal        decreased 
Axillary:                      normal          normal
Infra axillary:             normal       decreased
Supra scapular:         normal        normal
Infra scapular:           normal        decreased  
Inter scapular:           normal         normal


Percussion: 

Supra clavicular:        resonant         resonant   
Infra clavicular:          resonant         resonant 
Mammary:                  resonant                 dull
Axillary:                      resonant               dull
Infra axillary:             resonant                 dull
Supra scapular:         resonant            resonant
Infra scapular:           resonant                dull
Inter scapular:           resonant                   dull   


ASCULTATION:



-Breath sounds - intensity of breath sounds decreased. 

- Vocal resonance 

                                     Right.                   Left

Supra clavicular:.       Normal           normal    
Infra clavicular:          Normal           Normal
Mammary:                   Normal             Normal
Inframammary:          Normal       decreased
Axillary:                        N
ormal      normal           
Infra axillary:              
Normal     decreased 
Supra scapular:           
Normal        normal       
Infra scapular:            Normal
       decreased
Inter scapular:            
Normal              normal


PER ABDOMEN: 


INSPECTION 

Abdomen is Mildly distended

Umbilicus is central in position

A visible scar due to injury due to a fall around the umbilicus.


PALPATION -

No Tenderness on superficial palapation.

Temperature - Afebrile

Liver is Non Tender and not palpable 

Spleen is Not palpable


 PERCUSSION: shifting dullness absent 

ASCULTATION- Bowel Sounds Heard.

CENTRAL NERVOUS SYSTEM : 

Patient is conscious coherent and cooperative

Speech is normal 

No signs of meningeal irritation

Cranial nerves - intact 

Sensory system normal 

Motor system:

Tone - normal 

Bulk - normal 

Power - bilaterally 5/5 

Deep tendon reflexes 

Biceps : ++

Triceps : ++

Supinator: ++ 

Knee : ++

Ankle : ++

Superficial reflexes - normal 

Gait - normal 
 
  




Provisional diagnosis:
 heart failure with B/ L Pleural effusion 

INVESTIGATIONS: 

Hemogram: 

Hemoglobin 11.7 gm/dl

Total count    9,000 cells/cumm

Neutrophils. 74 

Lymphocytes 20

Eosinophils 2

Monocytes 4

Basophils 0

Pcv. 36.5 vol

Mcv. 82.8 fl

RDW- CV 19.1 %

RBC COUNT:. 4.4 million/cu/mm

LIVER FUNCTION TEST

Total Bilirubin - 0.9 mg/dl

Direct Bilirubin - 0.1 mg/dl

Indirect Bilirubin - 0.8 mg/dl

Alkaline Phosphatase - 221 u/l
AST - 40 u/l

ALT - 81 u/l

Protein Total - 6.8g/dl
Albumin - 4.2 g/dl
Globulin - 2.6 g/dl
Albumin:Globulin Ratio - 1.6

Renal Function Test

Urea - 64 
Creatinine - 4.3
Na+   - 138
K+      - 3.4
Cl-       - 104

Spot urine Protein - 34
Spot urine creatinine - 14.8

Spot Urine : Creatinine Ratio - 2.29


Fasting Blood Sugar - 93mg/dl
PLBS - 152 mg/dl

HbA1c  - 6.5%

ABG :
pH : 7.3
pCO2 - 28.0
pO2 - 77.4
HCO3-.13.5
Spo2-94.7


ECG: 




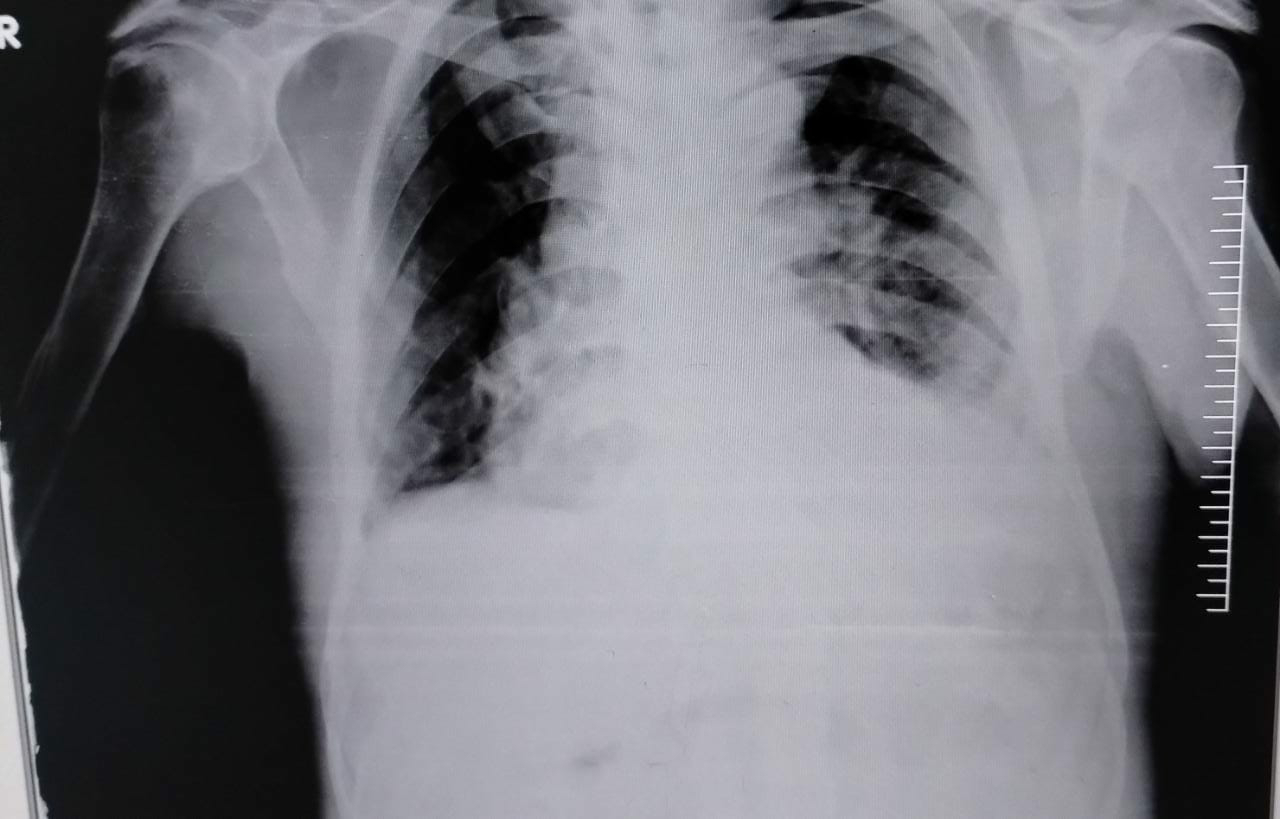
Chest X Ray


2D echo


MODERATE MR+: MODERATE TR+ WITH PAH: TRIVIAL ECCENTRIC TR+

GLOBAL HYPOKINETIC, NO AS/MS. SCLEROTIC

MODERATE LV DYSFUNCTION+

DIASTOLIC DYSFUNCTION PRESENT


ULTRASOUND:

USG CHEST: 

IMPRESSION:

BILATERAL PLEURAL EFFUSION (RIGHT MORE THAN LEFT) WITH UNDERLYING COLLAPSE.


USG ABDOMEN AND PELVIS:

MILD TO MODERATE ASCITES

RAISED ECHOGENICITY OF BILATERAL KIDNEYS.

X RAY NECK: 



DIAGNOSIS:-


HEART FAILURE WITH reduced  EJECTION FRACTION

WITH ACUTE KIDNEY INJURY ON CHRONIC KIDNEY DISEASE (SECONDARY TO DIABETES/NSAID INDUCED)

WITH K/C/O DM II SINCE 3  YEARS

WITh TB  3 years ago


TREATMENT

1)Fluid Restriction less than 1.5 Lit/day

2) Salt restriction less than 1.2gm/day

3) INJ. Lasix 40mg IV / BD

4) TAB MET XL 25 mg 

5) TAB. CINOD 5 MG PO/OD(IF SBP MORE THAN 110 MM HG)

6. INJ. HUMAN ACTRAPID INSULIN SC/TID (ACCORDING TO SLIDING SCALE)

7. INJ. PAN 40 MG IV/OD

8. INJ. ZOFER 4 MG IV/SOS

9. Strict I/O Charting

10. Vitals Monitoring 

11. TAB. ECOSPRIN AV 75/10 MG PO/

Comments

Popular posts from this blog

A 37 YEAR OLD MALE WITH VIRAL PYREXIA WITH HEPATOMEGALY .

60 year old female with the complaints of neck pain and headache